File:Relazione Centrica Neuro Evocata.jpg
Size of this preview: 800 × 533 pixels. Other resolutions: 320 × 213 pixels | 3,072 × 2,048 pixels.
Original file (3,072 × 2,048 pixels, file size: 4.49 MB, MIME type: image/jpeg)
Dettagli
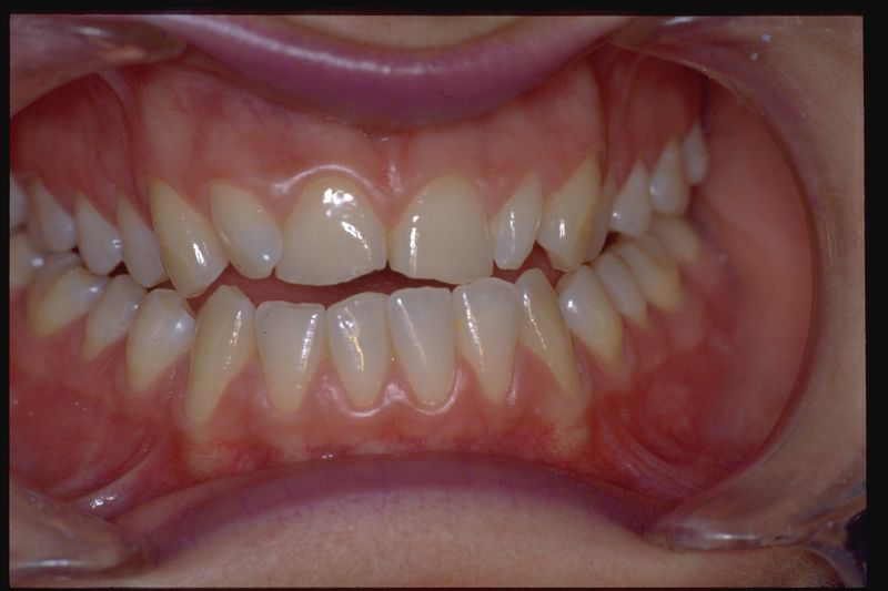
| Description | neuro Evoked Occlusal Centric Relation in TMDs patient neuro Evoked Occlusal Centric Relation in TMDs patient in which the jaw closed in a retruded position | ||
|---|---|---|---|
| Source | Archive Studio Frisardi
| ||
| Date | |||
| Author | Gianni Frisardi (Studio Frisardi) | ||
| Licensing |
|
Free image from the
You can freely use it as long as you respect the terms of the Creative Commons Attribuzione-Condividi allo stesso modo (CC BY-SA 4.0) license.
Hence, you must always indicate the image's source; in this case it would be enough to link the present page:
https://wiki.masticationpedia.org/index.php/File:Relazione_Centrica_Neuro_Evocata.jpg
Archive Studio Frisardi
collection.You can freely use it as long as you respect the terms of the Creative Commons Attribuzione-Condividi allo stesso modo (CC BY-SA 4.0) license.
Hence, you must always indicate the image's source; in this case it would be enough to link the present page:
https://wiki.masticationpedia.org/index.php/File:Relazione_Centrica_Neuro_Evocata.jpg
File history
Click on a date/time to view the file as it appeared at that time.
| Date/Time | Thumbnail | Dimensions | User | Comment | |
|---|---|---|---|---|---|
| current | 19:07, 9 February 2021 | 3,072 × 2,048 (4.49 MB) | Gianfranco (talk | contribs) |
You cannot overwrite this file.
File usage
There are no pages that use this file.