File:OrtoNeuroGnatodonzia 3.jpg
Revision as of 19:20, 2 December 2020 by Gianfranco (talk | contribs) (Gianfranco uploaded File:OrtoNeuroGnatodonzia 3.jpg)
Size of this preview: 800 × 532 pixels. Other resolutions: 320 × 213 pixels | 3,008 × 2,000 pixels.
Original file (3,008 × 2,000 pixels, file size: 2.58 MB, MIME type: image/jpeg)
Dettagli
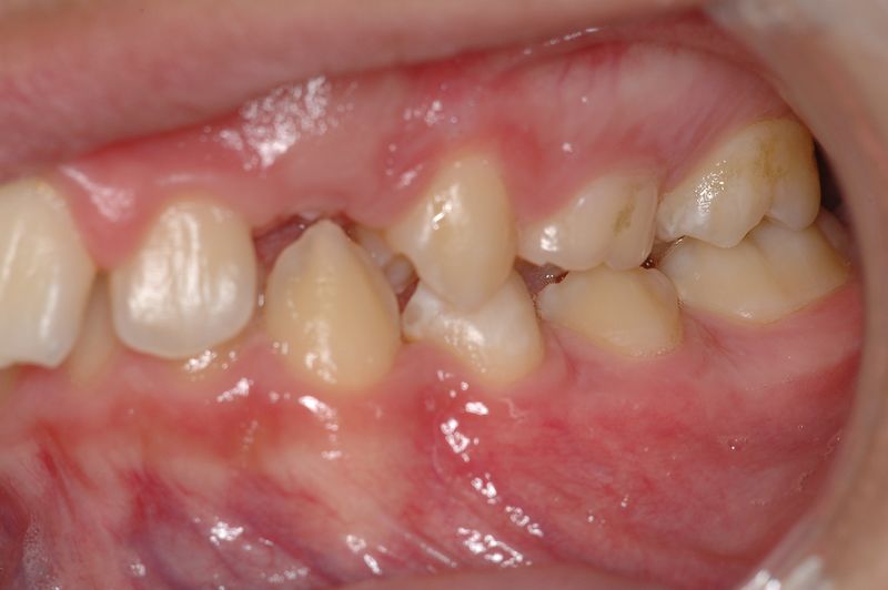
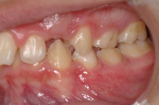
| Description | Left view of OrthoNeuroGnathodontic treatments in occlusal deep bite patient (001) Left view of OrthoNeuroGnathodontics treatment in a 2° Class facial hypodivergent morphology and deep bite | ||
|---|---|---|---|
| Source | Archive Studio Frisardi
| ||
| Date | |||
| Author | Flavio Frisardi | ||
| Licensing |
|
Free image from the
You can freely use it as long as you respect the terms of the Creative Commons Attribuzione-Condividi allo stesso modo (CC BY-SA 4.0) license.
Hence, you must always indicate the image's source; in this case it would be enough to link the present page:
https://wiki.masticationpedia.org/index.php/File:OrtoNeuroGnatodonzia_3.jpg
Archive Studio Frisardi
collection.You can freely use it as long as you respect the terms of the Creative Commons Attribuzione-Condividi allo stesso modo (CC BY-SA 4.0) license.
Hence, you must always indicate the image's source; in this case it would be enough to link the present page:
https://wiki.masticationpedia.org/index.php/File:OrtoNeuroGnatodonzia_3.jpg
File history
Click on a date/time to view the file as it appeared at that time.
| Date/Time | Thumbnail | Dimensions | User | Comment | |
|---|---|---|---|---|---|
| current | 19:20, 2 December 2020 | 3,008 × 2,000 (2.58 MB) | Gianfranco (talk | contribs) |
You cannot overwrite this file.
File usage
The following 3 pages use this file: